[ÈBE .3] Anatomie de la main
ou comment apprendre à se laisser tomber.
À son tour il considéra la paume de sa main gauche où sa vie était résumée en signes secrets et ineffaçables. (Pierre Louÿs, Aphrodite, 1896)
Je n’ai jamais appris à tomber. Je m’en suis aperçue lorsque, peinant à glisser sur la patinoire, je suis tombée sur mon poignet et ai regardé L s’en aller loin devant moi. Un adolescent, musique dans les oreilles, s’est arrêté pour me demander comment j’allais. Je ne savais pas encore que je venais de me casser le poignet.
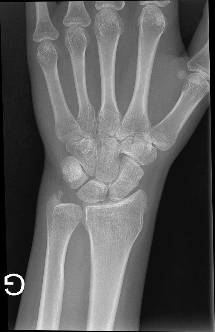
Sur les radios de mon poignet gauche, le médecin identifie deux fractures : une fracture de l’os capité et une fracture située à la pointe du radius.1


Dans la notice définitionnelle du CNRTL pour le mot « main », je trouve cette locution : « main de gloire », qui désigne une « main de pendu desséchée, une bougie entre les doigts repliés, à laquelle on attribuait, au Moyen Âge, des propriétés magiques ». Comme une main de gloire, ma main gauche pend de mon bras ankylosé depuis des semaines, laissée à l’état d’abandon, solitaire et maussade. Elle est un membre inerte qui lance, à longueur de journée, des traits de douleur s’étendant jusqu’au coude. Pourtant, sa solitude lui sied : ne pouvant plus en ronger les ongles, ceux-ci rayonnent de santé. À côté d’elle, ma main droite fait peine à voir : ses ongles sont à ras, sa peau est desséchée et mon bras, après la douche, reste mouillé.
En 1852, dans un recueil intitulé Contes et Facéties, Gérard de Nerval publie une nouvelle : « La Main enchantée », dont le titre originel est « La Main de gloire ». Dans ce court récit, Eustache, afin de remporter un duel à l’épée, demande à maître Gonin, voyant et magicien, un charme pouvant lui assurer la victoire. Après avoir concoté un mélange, Gonin
prit la main droite d’Eustache, qui, de l’autre, faisait le signe de la croix, et l’oignit jusqu’au poignet de la mixtion qu’il venait de composer.
Ensuite il tira encore du bahut un flacon très vieux et très gras, et le renversant lentement, répandit quelques gouttes sur le dos de la main, en prononçant des mots latins qui se rapprochaient de la formule que les prêtres emploient pour le baptême.
Alors seulement Eustache ressentit dans tout le bras une sorte de commotion électrique qui l’effraya beaucoup ; sa main lui sembla comme engourdie, et cependant, chose bien étrange, elle se tordit et s’allongea plusieurs fois à faire craquer ses articulations, comme un animal qui s’éveille ; puis il ne sentit plus rien, la circulation parut se rétablir, et maître Gonin s’écria que tout était fini, et qu’il pouvait bien à présent défier à l’épée les plus raides plumets de la cour et de l’armée, et leur percer des boutonnières pour tous les boutons inutiles dont la mode surchargeait alors leurs vêtements.
La main comme être à part entière, comme lorsqu’un objet tombe sous mes yeux et que, contre mon gré, ma main gauche s’élance pour le rattraper, ravivant une douleur enfin endormie. Pour quelqu’un qui n’a que très peu de réflexes, cette fatalité est drôlement tragique.
À la fin de la nouvelle, maître Gonin rend visite à Eustache en prison. Il lui lit alors l’extrait d’un manuel de magie :
Moyen héroïque dont se servent les scélérats pour s’introduire dans les maisons.
On prend la main coupée d’un pendu, qu’il faut lui avoir achetée avant la mort ; on la plonge, en ayant soin de la tenir presque fermée, dans un vase de cuivre contenant du zimac et du salpêtre, avec de la graisse de spondillis. On expose le vase à un feu clair de fougère et de verveine ; de sorte que la main s’y trouve, au bout d’un quart d’heure, parfaitement desséchée et propre à se conserver longtemps. Puis, ayant composé une chandelle avec de la graisse de veau marin et du sésame de Laponie, on se sert de la main comme d’un martinet pour y tenir cette chandelle allumée ; et, par tous les lieux où l’on va, la portant devant soi, les barres tombent, les serrures s’ouvrent, et toutes les personnes que l’on rencontre demeurent immobiles.
Cette main ainsi préparée reçoit le nom de main de gloire.
La main de gloire ouvre des portes.
Ma main de gloire m’en ouvre aussi, me forçant au repos (bien que j’en sois incapable), m’enjoignant à écrire et m’aidant à dormir (via les antidouleurs).
Depuis que je dors, je me remets à rêver.
La nuit dernière j’ai rêvé qu’L se cassait la main – gauche, comme moi. Quelques jours plus tard (dans la vraie vie cette fois), notre chat n’appréciant pas la venue d’un chien dans l’appartement lui lacérait le dos de la main – gauche, évidemment.
Cette nuit, j’ai rêvé que j’arrivais au sommet d’une montagne et que j’y découvrais une vue incroyable, avec une large étendue d’eau très claire et des arcs-en-ciel entremêlés. Sensation de vertige, ce mélange d’envie et de peur quand vous vous trouvez en hauteur et que votre corps vous supplie de sauter dans le vide mais que votre instinct de survie vous retient. Lorsque j’ai cédé, sautant “sans le faire exprès”, je me suis retrouvée dans cette eau translucide, sans danger, absolument paniquée. Je ne pouvais pas nager, ma main gauche sous l’eau aggripant ma serviette de bain rouge, ma main droite maintenant mon iPhone hors de l’eau. Tout allait bien mais je criais. Férue d’interprétations oniriques, L m’a exposé la symbolique de ce rêve pendant que l’on marchait sous la chaleur du soleil.
Les mains libres
Les mains lient
Les mains lisent
Les mains-crises
*
Liste d’activités que l’on ne peut faire qu’à deux mains : Lire. Applaudir. Prier. Se coiffer. Promettre. Veiller. Tricoter. Écrire. Pleurer. Serrer.
Le syndrôme de Lady Macbeth fait référence à la pièce de Shakespeare intitulée Macbeth2 (1623). La femme du futur roi Macbeth y tue un prétendant du trône mais son acte la hante : somnambule, elle erre la nuit dans les couloirs du château en regardant ses mains, qu’elle croit pleines de sang. Cette permanence du sang sur des mains coupables revient dans de nombreuses œuvres d’art – on la trouve même dans plusieurs épisodes de Grey’s Anatomy : les personnages, venant de tuer un patient, passent des heures à se laver les mains, persuadés que le sang est toujours là. La main porte la faute.
Dans un cauchemar datant d’il y a à peu près un an, j’incarnais Cristina de Grey’s Anatomy et j’assistais à la mort d’un nourrisson. Il s’étouffait devant moi, étranglé par des tubes qui étaient emmêlés par ma faute. Pendant des minutes qui semblaient des heures, je regardais ce nourrisson s’étouffer sur le sol avec les hurlements de sa mère en arrière-plan. Mes mains ne servaient à rien.
Dans certaines cultures d’Europe de l’Ouest, une relation amoureuse peut être scellée par le rituel des rubans, ou hand-fasting. Des rubans sont noués autour des poignets des amants afin de symboliser leur union. Dans les années 1960, la pratique a été appropriée par la wicca, mouvement religieux néo-païen accordant une grande importance à la nature, la mythologie et la magie blanche.
La main est un lien.
Sur ses cuisses, L porte deux tatouages. Deux mains qui tiennent avec un fil rouge, comme des marionnettes, un cerveau à droite et un cœur à gauche. J’ai vu ces tatouages pour la première fois lors de notre deuxième rendez-vous ; on se parlait depuis exactement une semaine et on avait choisi de passer la journée à la plage. Sous le brûlant soleil d’avril nos mains ne se sont pas touchées, mais nos cheveux se sont effleurés.
Il était temps d’apprendre à tomber.
Ne me demandez pas de les situer, je n’ai pas compris non plus.
J’avais parlé de ma lecture de cette pièce dans une vidéo sur Youtube :









Fascinant et passionnant comme toujours!
Article hyper évocateur. Et c'est drôle, je pensais au poème de John Keats, qui commence "This living hand..." (1819), ce matin-même (parce que je viens de me faire tatouer une main de pierre).